Volver al Directorio
Dentharmony México
Odontología GeneralVERIFICADO

Dentharmony México

5(232)
Ciudad de México

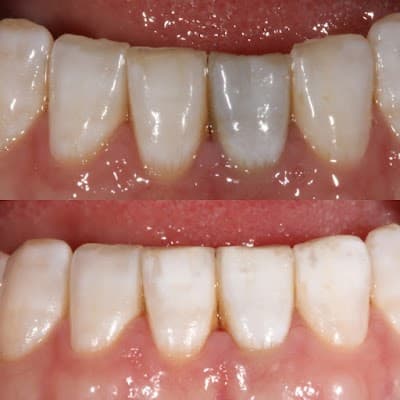
Galería de Instalaciones

Instalaciones de Dentharmony México

Sobre el Especialista - Dentharmony México

Dentharmony México es un profesional dental dedicado especializado en Odontología General en Ciudad de México. Con un compromiso hacia la comodidad del paciente y la excelencia clínica, la clínica ofrece atención dental integral utilizando técnicas y equipos modernos. Cada paciente recibe atención personalizada en un ambiente acogedor y profesional. El equipo se enfoca en crear una experiencia libre de estrés mientras entrega resultados sobresalientes. Ya sea que necesite atención de rutina o tratamientos especializados, puede confiar en Dentharmony México para servicios dentales de calidad. Agende su cita hoy y dé el primer paso hacia una sonrisa más saludable y brillante.

Servicios Principales

  • Odontología General
  • Limpieza Dental
  • Diagnóstico Digital
  • Urgencias 24h
  • Estética Dental
  • Rehabilitación

Otros especialistas en Ciudad de México

Advertisement