Volver al Directorio
LUX Dental Studio TECAMACHALCO
Odontología GeneralVERIFICADO

LUX Dental Studio TECAMACHALCO

5(51)
Tecamachalco

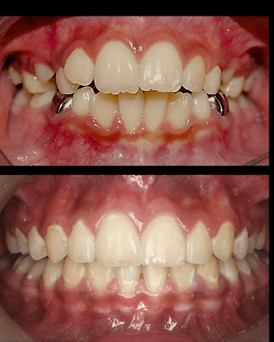
Galería de Instalaciones

Instalaciones de LUX Dental Studio TECAMACHALCO

Sobre el Especialista - LUX Dental Studio TECAMACHALCO

LUX Dental Studio TECAMACHALCO es un profesional dental dedicado especializado en Odontología General en Tecamachalco. Con un compromiso hacia la comodidad del paciente y la excelencia clínica, la clínica ofrece atención dental integral utilizando técnicas y equipos modernos. Cada paciente recibe atención personalizada en un ambiente acogedor y profesional. El equipo se enfoca en crear una experiencia libre de estrés mientras entrega resultados sobresalientes. Ya sea que necesite atención de rutina o tratamientos especializados, puede confiar en LUX Dental Studio TECAMACHALCO para servicios dentales de calidad. Agende su cita hoy y dé el primer paso hacia una sonrisa más saludable y brillante.

Servicios Principales

  • Odontología General
  • Limpieza Dental
  • Diagnóstico Digital
  • Urgencias 24h
  • Estética Dental
  • Rehabilitación

Otros especialistas en Tecamachalco

Advertisement