🏙️ Ciudades Principales
Destacados en Guerrero
Ver todos →





Tratamientos Dentales en Guerrero
El estado de Guerrero se ha consolidado como uno de los destinos más importantes para el turismo dental en México. Pacientes de Estados Unidos, Canadá y diversas partes de la república viajan a esta región buscando calidad a precios accesibles.
En nuestro directorio encontrarás una selección rigurosa de clínicas dentales en Guerrero, desde consultorios familiares hasta centros de especialidades avanzadas. Los tratamientos más solicitados incluyen:
- Implantes Dentales: Soluciones permanentes con marcas reconocidas (Straumann, Nobel Biocare).
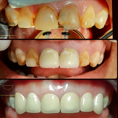
- Diseño de Sonrisa: Carillas de porcelana y resina para una estética impecable.
- Endodoncia: Tratamientos de conducto realizados por especialistas certificados.
- Ortodoncia: Brackets tradicionales, autoligado e Invisalign.
¿Por qué elegir un dentista en Guerrero?
Además del ahorro significativo (que puede llegar hasta un 70% comparado con precios en EE.UU.), los odontólogos en Guerrero destacan por su calidez humana y formación continua, muchos de ellos con posgrados en el extranjero.